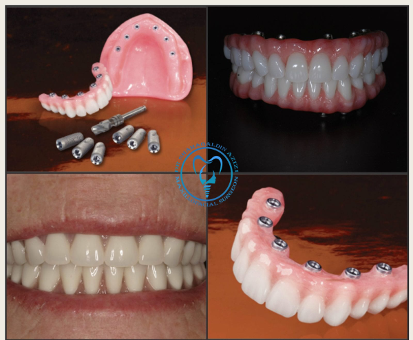
فرق ایمپلنت با دندان مصنوعی
ایمپلنت دندان و دندان مصنوعی هر دو روشهایی برای جایگزینی دندانهای از دست رفته هستند، اما تفاوتهای زیادی در نحوه عملکرد، ماندگاری و راحتی آنها وجود دارد: نحوه قرارگیری و ساختار: – ایمپلنت دندان: ایمپلنت شامل یک پایه فلزی (معمولاً تیتانیوم) است که به طور مستقیم در استخوان فک کاشته میشود. پس از مدتی که…









